Команда торакальних хірургів львівського «Охматдиту» успішно завершила тривале лікування трирічної дитини, яка отримала важкий хімічний опік стравоходу. Через нещасний випадок маля протягом двох років не могло самостійно харчуватися.
Про це повідомляє Центр дитячої медицини. Лікарня «Охматдит».
Трагедія сталася, коли дитина випадково проковтнула агресивну побутову хімію — засіб для очищення техніки від жиру. Це призвело до критичного стану: малеча страждала від сильного болю, постійної блювоти та не могла ковтати навіть воду.
Складний шлях до одужання
Лікування тривало два роки та включало декілька етапів:
-
Екстрена допомога: спочатку дитину госпіталізували до реанімації, де медики наклали гастростому, щоб забезпечити харчування в обхід ураженого стравоходу.
-
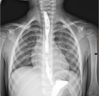
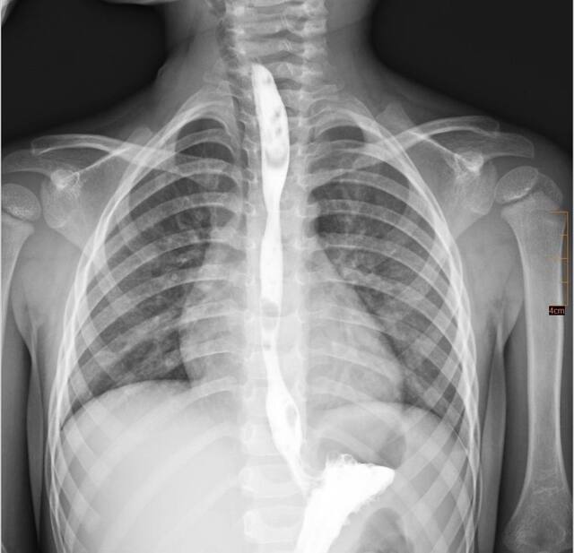
Ускладнення: згодом у пацієнта розвинувся критичний стеноз — просвіт стравоходу настільки звузився, що прийом їжі через рот став неможливим.
-
Унікальні операції: мультидисциплінарна команда вирішила відмовитися від великої травматичної операції на користь серії малоінвазивних втручань — балонних дилатацій. Під час цих процедур звужену ділянку поступово розширювали спеціальним балоном без жодних розрізів.

Результат лікування
Завдяки злагодженій роботі фахівців під керівництвом Олега Леніва, дитина повністю одужала. На сьогодні маленький пацієнт уже їсть самостійно, активно росте та добре почувається.
Медики вкотре закликають батьків зберігати побутову хімію у недоступних для дітей місцях, адже одна мить може коштувати дитині здоров'я та років виснажливого лікування.
ІА "Вголос": НОВИНИ