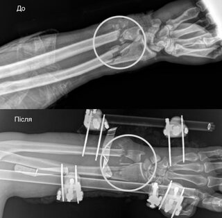
Львівські лікарі здійснили надскладну операцію, зберігши кінцівку мешканцю області, який отримав критичну травму під час заготовлення дров. Попри те, що рука трималася лише на клаптику шкіри, мультидисциплінарна команда зуміла відновити кровопостачання та функцію м’язів.
Про це повідомляє Перше медичне об’єднання Львова.
Трагедія за одну мить
Нещасний випадок стався під час побутових робіт: бензопила вислизнула з рук 37-річного чоловіка та майже повністю перерізала ліве передпліччя. Дружина постраждалого встигла накласти імпровізований джгут із тканини, що допомогло виграти час до приїзду «швидкої». Пацієнта у критичному стані терміново доставили до Лікарні Святого Пантелеймона.
Боротьба за кожну хвилину
Травма була настільки тяжкою, що рука фактично була ампутованою: бензопила пошкодила артерії, кістки, сухожилля, м’язи та нерви. Порятунок відбувався у кілька вирішальних етапів:
-
стабілізація кісток: Ортопеди-травматологи зафіксували переломи за допомогою апарата зовнішньої фіксації.
-
відновлення кровообігу: Судинні хірурги зшили пошкоджені судини. Цей етап був критичним, адже без циркуляції крові тканини почали б відмирати, що зробило б ампутацію неминучою.
-
реконструкція м’яких тканин: Хірурги ушили пошкоджені м’язи та сухожилля для відновлення згинально-розгинальної функції, а також провели аутодермопластику — закрили дефект власною шкірою пацієнта.

Шанс на повноцінне життя
Наразі пацієнт проходить тривалу реабілітацію. Лікарі відзначають позитивну динаміку: шкірний трансплантат прижився, а до пальців поступово повертається рухливість. Попереду на чоловіка чекає ще одна операція на нервах, яку планують провести через кілька місяців.

Завдяки професіоналізму команди Андрія Меленя, завідувача відділення судинної хірургії, пацієнт отримав шанс не лише уникнути інвалідності, а й повернутися до нормального життя.
Нагадаємо, раніше повідомлялось, що з медзакладів Першого медичного об'єднання виписали ще двох пацієнтів, які отримали поранення під час нічної атаки на місто. На стаціонарному лікуванні залишаються десять осіб.
ІА "Вголос": НОВИНИ