Львівські хірурги провели надскладне втручання 60-річній пацієнтці, яка вдруге зіткнулася з агресивною формою раку.
Про це повідомляє Львівська міська рада. Щоб зупинити хворобу, лікарям довелося повністю видалити жінці підшлункову залозу та селезінку, подарувавши їй шанс побачити, як ростуть онуки.
Історія хвороби
Боротьба пані Галини за життя розпочалася ще у 2023 році, коли медики діагностували у неї рак жовчної протоки 2-ї стадії. Тоді хірурги провели успішну операцію, видаливши частину органів, і здавалося, що хворобу подолано. Проте торік самопочуття жінки знову погіршилося: з’явилися слабкість, запаморочення та стрибки рівня цукру в крові.
«Мені так ставало слабо, що я вночі не спала», — згадує пані Галина.
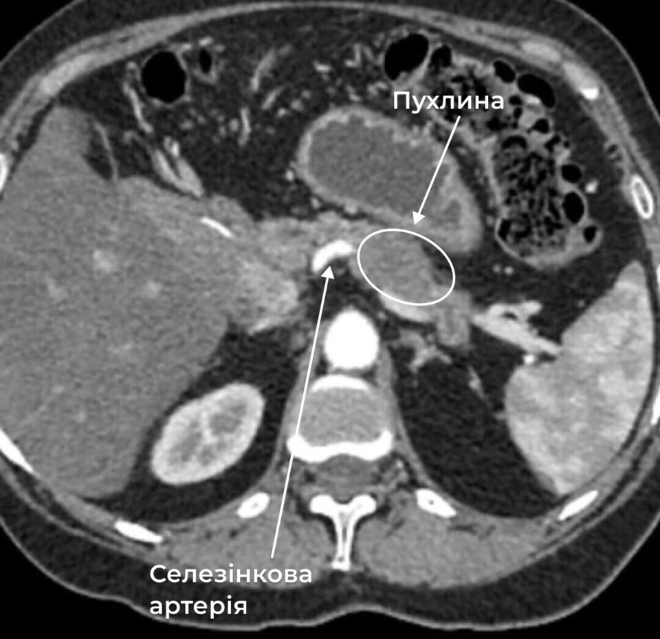
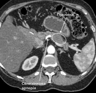
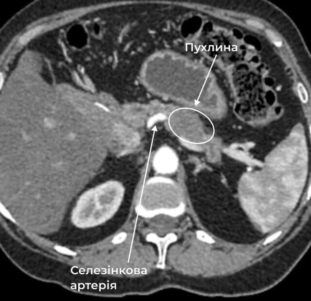
Комп’ютерна томографія підтвердила найгірші побоювання: нову злоякісну пухлину, цього разу — безпосередньо в підшлунковій залозі.
Радикальне рішення
Після трьох місяців хіміотерапії лікарі ухвалили рішення про проведення тотальної панкреатектомії зі спленектомією. Це означало повне видалення підшлункової залози разом із селезінкою. Хірург-онколог Володимир Дорожинський пояснює:
«Ми свідомо видалили підшлункову залозу, аби зберегти їй життя і щоб був шанс побороти злоякісну пухлину. Ускладнювало операцію те, що раніше пані Галина вже перенесла хірургічне втручання».
Операція тривала 6 годин і завершилася успішно. Оскільки організм більше не виробляє інсулін самостійно, у пацієнтки розвинувся так званий діабет 3-го типу.

Життя після операції
Зараз функцію видаленого органу повністю заміщують препарати. Хірург Андрій Вербовецький зазначає:
«Ми призначили пацієнтці ферментні препарати для підтримки травлення, що дало хороші результати. Також разом з ендокринологами було підібрано інсулінотерапію».
Пані Галина вже повернулася додому та готується до курсу хіміотерапії. Попри складність нового способу життя, жінка сповнена оптимізму та вдячності лікарям:
«Звісно, це ще не кінець. І тепер треба вчитися контролювати цукор, ще більше про себе дбати. Я вдячна лікарям за їхню працю. Бо маю ще можливість жити. У мене є діти і онуки, то хочу ще трохи подивитися, як вони ростуть».
Нагадаємо, наступної неділі, 22 березня, у храмах Львова пройде день спільної молитви «Неділя для Марчика».
ІА "Вголос": НОВИНИ